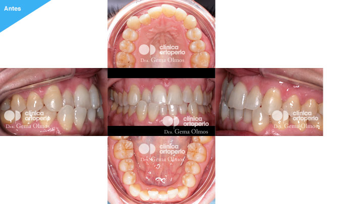
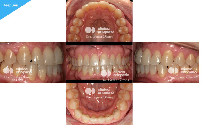
Caso 7. Ortodoncia lingual. Mordida cruzada anterior y apiñamiento.
Los incisivos superiores derechos mordían “al revés”, es decir, los de arriba encajaban por detrás de los de abajo. Este tipo de mordida resulta traumática para las piezas y a menudo da lugar a recesiones (pérdida de encía) y desgaste del esmalte .
Además, con el tiempo las posición de las piezas empeora y puede llegar a limitar los movimientos mandibulares. Se corrigió con ortodoncia lingual, restaurando una correcta función y mejorando la estética de la sonrisa.



