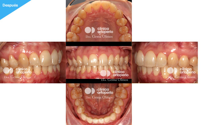
Caso 5. Ortodoncia Lingual. Apiñamiento.
Apiñamiento en ambas arcadas, ligera compresión dentoalveolar superior.
El tratamiento se realizó con ortodoncia lingual (STB Ormco).


Apiñamiento en ambas arcadas, ligera compresión dentoalveolar superior.
El tratamiento se realizó con ortodoncia lingual (STB Ormco).

