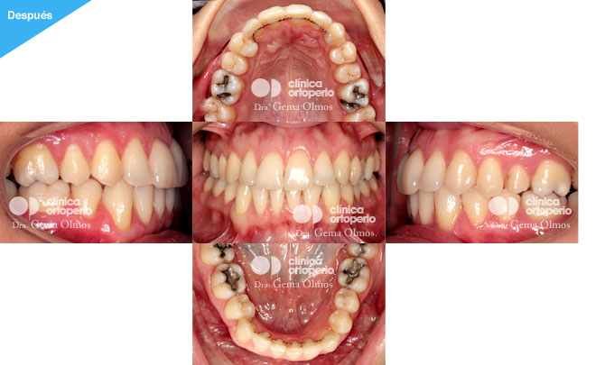
Caso 1. Ortodoncia Lingual. Canino Incluido.
La paciente presentaba un canino superior derecho incluido para el cual no había nada de espacio y apiñamiento inferior. Se realizo la extracción del canino incluido y de un premolar inferior. El tratamiento se hizo con aparato de ortodoncia lingual.
El tiempo de tratamiento fueron 24 meses.



