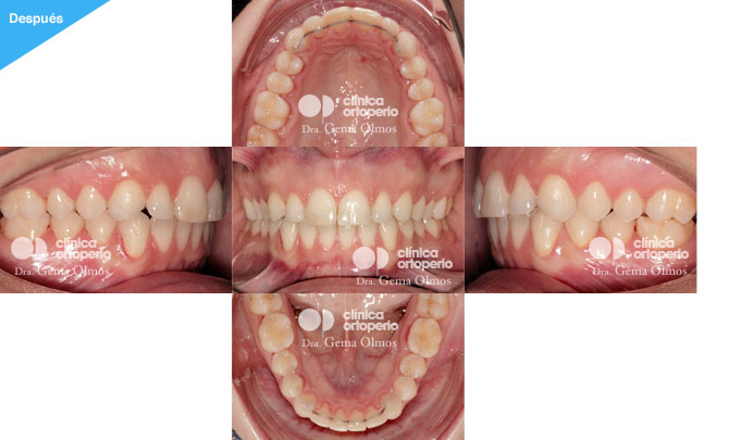
Caso 4. Ortodoncia Lingual. Exceso de sobremordida, sonrisa gingival, apiñamiento leve superior.
El objetivo del tratamiento era mejorar la estética de la sonrisa intruyendo los incisivos superiores que estaban inclinados hacia atrás, rellenando los corredores bucales y resolviendo el apiñamiento. El reto era lograr esto sin modificar la mordida, ya que la paciente presentaba una clase I molar y canina bilateral, es decir, los dientes de atrás encajaban perfectamente.
El tratamiento se llevó a cabo con un aparato de ortodoncia lingual (Incognito) totalmente individualizado.
El tiempo de tratamiento fueron 14 meses, aunque sólo requirió de 10 visitas.



