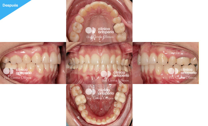
Caso 3. Ortodoncia Lingual. Extracción 2 premolares.
Tratamiento sólo de la arcada superior.
La paciente presentaba una maloclusión de clase II completa bilateral. Se trató con extracción de dos premolares superiores y microtornillos. El tratamiento fue de una sola arcada, en la parte inferior no se puso aparato y en la parte superior se utilizo un aparato de ortodoncia lingual.
El tiempo de tratamiento fueron 18 meses.



